
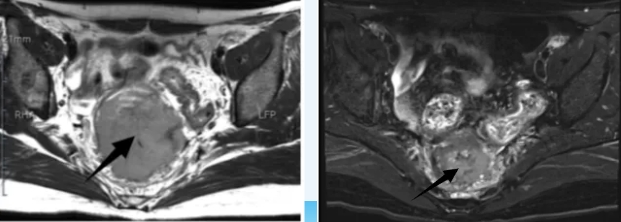
“现在不用喝番泻叶,每天都能正常排便了!”近日,34岁的宫颈癌患者在延安市中医医院(北京大学第三医院延安分院)肿瘤科复诊时难掩喜悦。患者在治疗前,直肠周围巨大转移瘤导致患者无法顺利排便,经过4周期治疗,她直肠7.1cm的巨大肿块已缩小至2.3cm,排便通畅,生活质量得到改善。
1年前患者不幸患有宫颈癌,在外院接受手术后,因未进行后续抗肿瘤治疗,病情逐渐恶化。2025年1月,她出现严重的排便困难,复查发现直肠巨大肿块,依赖番泻叶才能勉强排便。在外院检查发现,肿瘤已发生双肺、肝脏及腹膜后多发转移。经多方打听,来到我院肿瘤科寻求帮助。
入院后,肿瘤科团队对患者进行全面评估,考虑到她较为年轻,耐受能力较好,最终制定了个体化的化疗联合靶向、免疫及中西医结合治疗方案。经过4个周期的规范治疗,不仅肿瘤明显缩小,患者的排便功能也恢复正常,整体状态得到改善。目前,她正准备接受进一步巩固治疗,以稳定病情。
肿瘤科胡海峰介绍
“早期发现、规范治疗是战胜宫颈癌的重要手段,即使是晚期患者,也不要轻易放弃希望。通过综合治疗,整合化疗、靶向治疗、免疫治疗、放疗、中西医结合等多种手段,根据患者个体情况制定治疗方案,不仅能改善患者症状,还能延长生存期,提高生活质量。我科遵循肿瘤规范化治疗原则,突显中西医结合特色,持续为患者提供精准、规范的诊疗服务,为患者健康护航。”
知识链接
宫颈癌是严重威胁女性健康的恶性肿瘤,但通过科学防治,可以实现早诊早治。
01.宫颈癌的发病原因是什么?
99.7%的宫颈癌由人乳头瘤病毒(HPV)持续感染引起。虽然多数HPV感染可自行消退,但部分高危型病毒持续感染可能引发癌变。
02.引起宫颈癌的高危因素有哪些?
·持续高危型人乳头瘤病毒感染是致病的主要因素;
·有多个性伴侣,或性伴侣又有多个性伙伴;
·过早性生活(指早于18岁);
·分娩次数过多;
·患有其他性传播疾病;
·有吸烟、吸毒、酗酒等不良嗜好;
·家族有宫颈癌、阴道癌或外阴癌的患者。
03.宫颈癌的早期症状有哪些?
早期常无明显表现,随着病情发展,可能出现接触性出血(性生活或妇科检查后)、阴道分泌物增多伴异味等症状,出现异常应及时就医。
04.如何做到科学筛查宫颈癌?
·建议有性生活的女性每年进行一次宫颈脱落细胞检查;
·连续2-3年检查正常者,可延长至2-3年检查一次;
·35岁以上、多性伴侣、HPV感染史等高危人群,建议每年1-2次检查。
05.如何预防宫颈癌?
·安全的性行为:保持专一的性伴侣,坚持使用避孕套,延迟首次性行为的时间(不早于18岁)和首次生育时间(不早于18岁)年龄。
·戒烟:养成不吸烟等良好的生活习惯有助于预防宫颈癌。
·定期筛查:定期去医院进行宫颈癌的筛查,做到及早发现,及早治疗。
