肾积水是一个很多人会忽略的疾病,但往往因为不被重视,所以容易对患者身体造成严重的后果,延安市中医医院(北京大学第三医院延安分院)泌尿外科根据患者肾积水的病因、类型、输尿管梗阻的部位、长度,结合患者的身体状态采取个性化的治疗方式。同时使用中医思维辨别患者体质,通过中药及中医非药物疗法温补肾阳,益气利水,扶助正气,减少应激,助力患者肾功能恢复,预防疾病复发,提高生活质量。
典型病例一

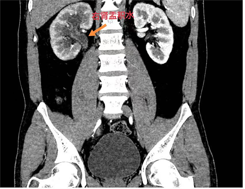
34岁的男性患者周某,3月前出现右侧腰痛,在当地医院就诊,行B超检查提示:右肾积水,右侧输尿管上段扩张积水,尿常规显示尿潜血3+,考虑患有输尿管结石,给予体外冲击波碎石,碎石治疗之后腰疼加重,伴有血尿、尿频、尿痛,在外院多次按泌尿系感染治疗,症状没有好转。
听闻我院泌尿外科有北京专家长期坐诊,慕名前来就医。泌尿外科团队结合患者病史较长,合并输尿管梗阻和CTU提示右肾积水,肾盂及输尿管管壁增厚等情况。积极完善PPD试验,结核T细胞检验,尿结核杆菌染色涂片和输尿管粘膜活检等检查。诊断周某患有泌尿系结核,在给予积极抗结核治疗的同时,行输尿管狭窄扩张,留置输尿管支架管引流积水,保护患者肾功能。经过治疗,周某腰痛缓解,目前已顺利出院。
典型病例二
11岁的患者刘某,在入学体检时发现右肾积水,但平时并没有任何症状。泌尿外科完善CTU及逆行输尿管造影,明确诊断为右侧肾盂输尿管连接处狭窄。在明确告知患者家属病情并征得同意后,泌尿外科团队为患者实施了后腹腔镜下右侧肾盂成型术,仅需三个5mm的小切口就能完成手术,术后3天患者顺利出院。
典型病例三
56岁的中年女性患者张某,子宫颈癌根治术后5年余,术后因子宫颈癌复发进行过多次放疗。1月前突然出现下肢水肿,尿少,颜面部浮肿,不想吃饭等症状。听闻我院泌尿外科擅长治疗泌尿系疑难疾病,于是来到泌尿外科门诊寻求帮助。完善CTU检查发现双侧肾盂扩张积水,双侧输尿管下段被肿瘤压迫导致管腔狭窄,肾功能不全,需要手术治疗,但因为身体情况不能耐受全麻。于是泌尿外科团队在局麻下为患者实施了双侧输尿管支架管置入术,术后2天患者水肿消退,尿量正常,现已顺利出院,恢复正常生活。
泌尿外科主任郭巍介绍:
肾积水很多人没有任何症状,只是体检行B超提示肾积水,往往不在意,没有进一步检查及采取相应的治疗。但肾积水会产生很严重的后果。尿液积聚时间过长,尿液里的细菌就会繁殖,引起严重的并发症,比如泌尿系感染、水肿、高血压,还会有恶心、呕吐和食欲不振等胃肠道症状,导致肾功能衰竭,甚至有生命危险。出现肾积水需要到泌尿外科进一步评估检查、根据病因给于相应的治疗,解除梗阻、恢复尿路的连续性及通畅性。
科普小知识:肾积水
肾积水指的是积蓄在肾脏内部的尿液,而非传统意义上的“水”。任何原因造成的泌尿系统管路不通畅,使得产生的尿液不能向下排出的时候,就会积存在肾脏,时间长了就会造成肾盂扩张,形成肾积水。而且,肾内尿液积聚,压力升高,使肾盂与肾盏扩大、肾实质萎缩,慢慢就会影响肾功能。
肾积水的原因主要有以下四种:
(1)先天性原因,出生时伴有的输尿管发育异常、蠕动功能异常,肾盂输尿管连接处梗阻(UPJO);
(2)后天性原因,主要有结石和感染、结核、输尿管肿瘤等;
(3)输尿管周围组织的挤压牵拉,如动脉、静脉的病变、女性生殖系统病变、盆腔肿瘤、腹膜后病变;
(4)下尿路疾病,例如前列腺增生、尿道狭窄,前列腺恶性肿瘤。
我院泌尿外科为延安市重点学科,依托北京大学第三医院平台,秉承“大医精诚,仁爱创新”的院训精神,以患者为中心,为不同患者制定个体化的诊疗方案,在结石治疗领域,推进上尿路结石预防、诊断、治疗、随访一体化管理,努力打造陕北区域泌尿微创治疗知名专科,建设高水平、高质量的泌尿外科。
科室可开展:
1.陕北地区首家开展经尿道前列腺钬激光剜除术。
2.陕北地区首家双平面超声引导下经会阴前列腺靶向融合穿刺活检。
3.腹腔镜(经腹膜外间隙)前列腺癌根治术。特色为通过保留功能尿道、保留功能性膀胱颈、保留血管神经束、后重建技术(Rocco 缝合)、前悬吊技术提高术后即刻尿控能力。
4.肾结石、输尿管结石、膀胱结石的微创手术治疗(经皮肾镜、输尿管软镜、输尿管硬镜、同步多镜联合等手术方式)。
5.肾癌、膀胱癌、肾上腺肿瘤、肾积水的腹腔镜微创手术治疗。
6.阴茎成形术、腹腔镜下鞘状突高位结扎术、腹腔镜下隐睾松解固定术、腹腔镜精索静脉高位结扎术。
7.显微手术:显微镜下精索静脉结扎术。
