
近日,北京大学第三医院延安分院(延安市中医医院)神经外科成功开展介入栓塞治疗一位左侧C6段破裂动脉瘤患者,标志着我院神经介入技术水平及治疗方面迈上了新的台阶。
病情回顾
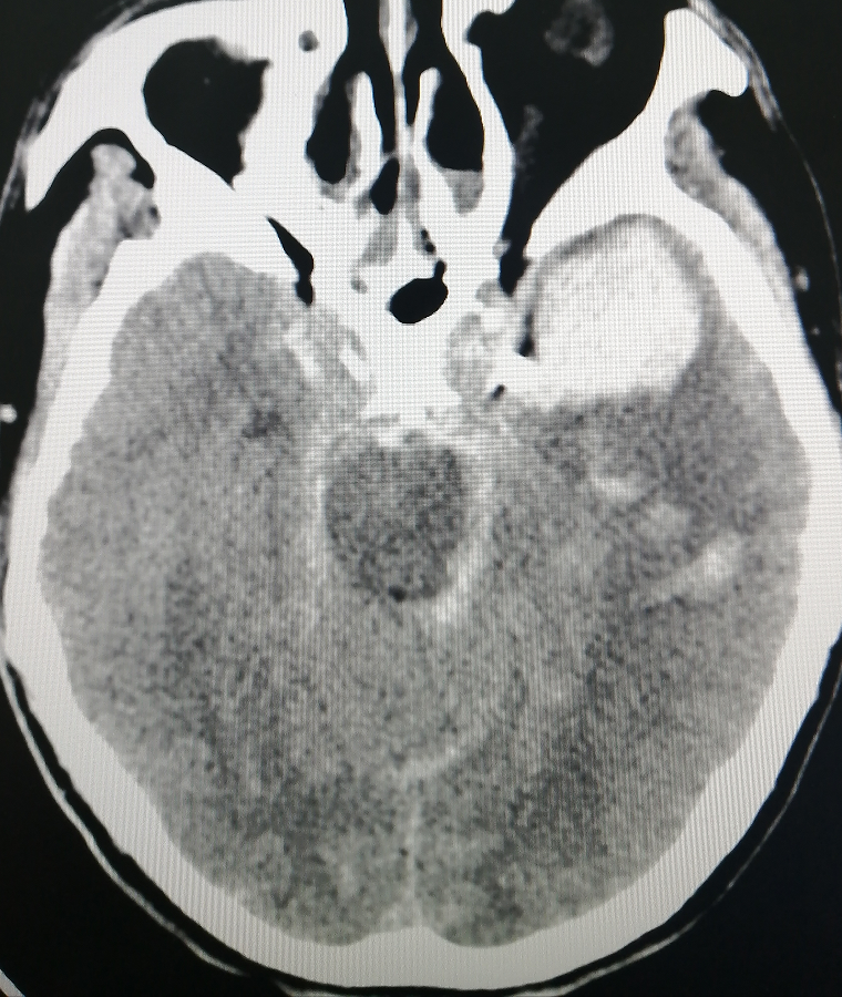
70岁的患者王某被家人发现时已经头痛、意识不清3小时了,既往有脑梗死多年,被家人紧急送往医院。神经外科医生董永军接诊患者并完善相关检查后,初步诊断为自发性蛛网膜下腔、左侧颈内动脉C6端动脉瘤(破裂)、吸入性肺炎和高血压病3级。
入院后给予镇痛、镇静、脱水、止血、通便、抗感染、解痉、控制血压等对症等治疗,考虑不排除动脉瘤会再次破裂可能。建议进行急诊介入手术,必要时再开颅清除血肿外减压。
神经外科团队在北医三院驻延专家陈晓东教授和主任田德洲的带领下,由董永军副主任,张晨主治医生行颅内动脉瘤介入栓塞治疗。结合造影检查结果,考虑左侧C6段破裂动脉瘤,5mm×7.6mm,瘤径约5.7mm,可见子瘤形成。胚胎型后交通动脉。拟行经皮股动脉穿刺多微导管弹簧圈栓塞术。结合造影结果,考虑左侧C6段破裂动脉瘤,5mm×7.6mm,瘤径约5.7mm,可见子瘤形成。胚胎型后交通动脉。最终为患者王某实施了行经皮股动脉穿刺多微导管弹簧圈栓塞术。王某目前恢复良好,已顺利出院。
神经外科医生提醒广大群众:颅内动脉瘤破裂后致死、致残率高,会给家庭带来严重危害。如果发现有动脉瘤存在,而且有明确手术指征的情况下,应该尽早治疗,早康复。
科普小知识
颅内动脉瘤多为发生在颅内动脉管壁上的异常膨出,是造成蛛网膜下腔出血的首位病因,在脑血管意外中,仅次于脑血栓和高血压脑出血,位居第三。任何年龄可发病,多数好发于40至60岁中老年女性。造成颅内动脉瘤的病因尚不甚清楚,多数学者认为颅内动脉瘤是在颅内动脉管壁局部的先天性缺陷和腔内压力增高的基础上引起,高血压、脑动脉硬化、血管炎与动脉瘤的发生与发展有关。
颅内动脉瘤好发于脑底动脉环(Willis环)上,其中80%发生于脑底动脉环前半部。颅内动脉瘤大致分为囊性与非囊性动脉瘤。
囊性动脉瘤是指动脉侧壁发出的异常类圆形膨出,通常具有瘤颈小于瘤体的特征。非囊性动脉瘤主要包括梭形动脉瘤、蛇形动脉瘤等,其中梭形动脉瘤较为常见,主要表现为节段性血管壁向各方向的异常膨出;蛇形动脉瘤较为少见,主要表现为长节段的迂曲扩张,并常伴有瘤内血栓形成。
